Mis on Herbst?
- Riiamäe Hambakliinik

- Jan 6, 2020
- 1 min read
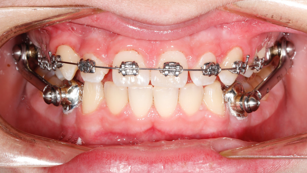
Ortodontia on kiirelt arenev ala. Tundub, et iga aasta leiutakse uusi võimalusi ja viise, kuidas korrigeerida hambumust ja luua patsiendile kena naeratus. Üks ravivõimalusi, mida ortodont tihti soovitab, on Herbst aparaat. Herbst aparaati kasutatakse alumise ja ülemise hambakaare tagant-ette suunas suhte muutmiseks.
Kuigi Herbst aparaat on olnud kasutusel erinevates versioonides üsna pikka aega, on just nüüd tema kasutamine tõusteel. Herbst aparaadil on mitmeid eeliseid võrreldes eemaldatavate aparaatidega:
lihtne kanda
kiirem harjumine
suu liigutamine on suhteliselt vaba
segab minimaalselt rääkimist
Kuna Herbst aparaati ei saa ise eemaldada, siis on tema efektiivsus suur! Seda kantakse kogu aeg ja harjumine aparaadiga toimub enamasti nädala jooksul.
KELLELE HERBST APARAAT SOBIB?
Tavaliselt on parim aeg ravi alustamiseks, kui kõik jäävhambad on vahetunud. Enamasti on laps vanuses 10-14 aastat. Samas kasutame Herbst aparaati ka täiskasvanutel, 30-40aastastel. Siis on oodatav efekt seotud hammaste kallete muutumisega Herbst ravi tulemusel.
MIDA OODATA HERBST APARAADIST?
Herbst aparaat kinnitatakse hammaste külge ajutiste metallkroonidega. Hinged kinnitatakse kroonide külge kruvidega ja just need hinged hakkavad hambumust korrigeerima.
Aparaadiga harjumine ei võta kaua aega. Tavaliselt toimub see nädala jooksul. Päris alguses on enesetunne mõnevõrra ebamugav, kuna hambad käivad kokku varasemast erinevalt. Seetõttu võib söömine ja närimine olla esialgu võõras. Herbst aparaadi oodatav kandmisaeg on üks aasta. Kuigi aparaat on vastupidav ja suhteliselt vähe hooldust vajav, on hea suuhügieeni pidamine tavapäraste meetoditega ülioluline.

































Kui palju üks selline seade maksma läheks?