AIR-FLOW tehnoloogia: miks ja kuidas?
- Riiamäe Hambakliinik

- Jan 11, 2022
- 1 min read
#1 - Hambakatt on rikkalik
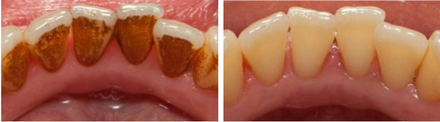
Meie suuõõnes elab ligikaudu 20 miljardit bakterit, kes pidevalt paljunevad. Kogunedes hammastele moodustavad bakterid süljega segunedes nn biofilmi. Esmased hambapinda asustavad bakterid on streptokokid (S. salivarius, S. mitis), kes loovad soodsa elukeskkonna teiste eluks hapniku mittevajavate bakterite jaoks. Bakterite paljunedes areneb biofilmi mitmekihiliseks paksuks hambakatuks. Hambakatt kogub endasse rohkelt sülje mineraale ning toidujääke koguma ning moodustub hambakivi.
#2 - Oluline on tasakaal
Rohke hambakatt suurendab hambakaariese tekke riski ja on oluliseks igemepõletiku ehk gingiviidi põhjustajaks. Hambahaiguste tekke üks põhjuseks on bakterite koosluse tasakaalu häire. Teadusuuringud on näidanud, et hambakatu bakterid mängivad rolli diabeedi, Alzheimeri tõve ning mitmete südame-veresoonkonna, reumaatiliste ja kopsuhaiguste põhjustajatena.
#3 - Motiveerimine ja juhendamine
Hambakatt silmale peaaegu nähtamatu. Hambakatu nähtavale toomiseks kasutatakse spetsiaalset hambapinnale pintseldatavat värvainet või näritavaid katutablette. Nii on võimalik mõista, millised piirkonnad vajavad rohkem hoolt ja puhastamist.
Vanem hambakatt värvub sinakas-lillaks ning suhteliselt värske katt roosaks.

#4 - AIR-FLOW tehnoloogia
Hammaste ja üldtervise hoidmiseks on väga oluline professionaalne hambakatu eemaldamine. Selleks kasutatakse AIR-FLOW tehonoogiat.
Visiidi käigus hinnatakse hammaste ja suu tervist ning valitakse sobiv AIR-FLOW pulber. Tugeva pigmendi ning igemest ülespoole jääva hambakatu eemaldamiseks kasutatakse klassikalist pulbrit, mille põhikomponendiks on ~40 μm suurused naatriumkarbonaadi ehk sooda osakesed.
Tundlike hammaste, piimahammaste, hambaimplantaatide, profülaktilise puhastuse puhul valitakse pulber, mille koostisesse kuuluvad imeväiksed, ~14 μm suurused, erütritooli osakesed. Väiksema abrasiivsusega pulbrit on sobiv kasutada nii üleval kui ka allpool igemepiiri ja isegi suulimaskestal.
GBT ehk Guided Biofilm Therapy, juhitud biofilmi teraapia
#4 - Hambakivi puhastamine
Tugevalt mineraliseerunud hambakattu e hambakivi eemaldatakse kiirelt vibreeriva ultraheliotsikuga.
#5 - Lõpp hea, kõik hea (:
Alles peale katu ja hambakivi eemaldamist on hambaarstil võimalik korrektselt hinnata varem peitu jäänud (algavat) hambakaariest ning anda personaalsed suuhügieenisoovitused.

Juhitud biofilmiteraapia protokolli etapid.

































Comments